Wichtiger Sicherheitshinweis:
Pathorama wurde zwischen dem
26. und 27. Dezember 2025
angegriffen. Falls Sie die Website in diesem Zeitraum besucht haben, lesen Sie bitte die wichtigen Informationen hier:
Zur Information
Pathopic
HiPaKu
ZyPaKu
Projektinfos
PathoPic - Projekt- und Copyright-Info
About
Pathopic
HiPaKu
ZyPaKu
PathoPic – image database
/
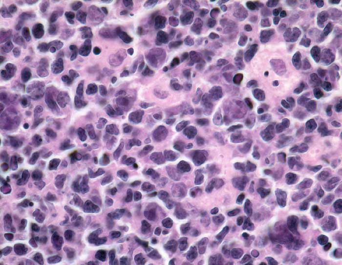
PathoPic ID 5571 - reaktive Lymphadenitis
de
Diagnose
reaktive Lymphadenitis
Diagnose Gruppe
Entzündung infektiös
Topographie
Lymphknoten, Kopf-cervikal
Topographie Gruppe
Lymphatische Gewebe, KM, Milz
Beschreibung
Ausschnitt aus einem aktivierten Keimzentrum mit
Kerntrümmermakrophagen und zahlreichen
Zentrozyten mit eckigen Kernen.
Klinik
1cm grosses submentales Knötchen
Kommentar
Zytologische Diagnose: reaktive Lymphadenitis
Bilder Typ
Histologie
Vergrösserung
400
Alter
23
Geschlecht
unbekannt
Datum
Ersteintrag: 23.12.2002
Update: 11.02.2003
CPS
·
©
2025 Institut für Pathologie Basel
/
Dr. med. Katharina Glatz-Krieger
.
·
v2.2