Wichtiger Sicherheitshinweis: Pathorama wurde zwischen dem 26. und 27. Dezember 2025 angegriffen. Falls Sie die Website in diesem Zeitraum besucht haben, lesen Sie bitte die wichtigen Informationen hier:
Zur Information

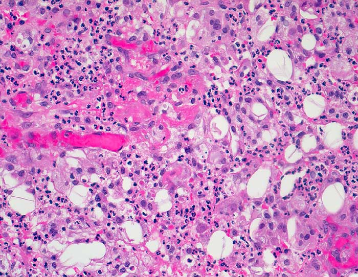
PathoPic – image database / PathoPic ID 5554 - Rupturierte Epidermoidzyste

de
Diagnose
Rupturierte Epidermoidzyste
Diagnose Gruppe
benigner Tumor
Topographie
Haut, Rumpf
Topographie Gruppe
Haut
Beschreibung
Die Zystenwand ist vollständig entzündlich zerstört. Das Entzündungsinfiltrat besteht aus Granulozyten, Histiozyten sowie einzelnen Fremdkörperriesenzellen, welche die ausgetretenen Hornlamellen phagozytieren.
Klinik
Grosses, seit 5 Jahren bestehendes, entzündlich verändertes Atherom am Rücken
Bilder Typ
Histologie
Vergrösserung
200
Alter
74
Geschlecht
männlich
Datum
Ersteintrag: 23.12.2002
Update: 11.02.2003