Wichtiger Sicherheitshinweis: Pathorama wurde zwischen dem 26. und 27. Dezember 2025 angegriffen. Falls Sie die Website in diesem Zeitraum besucht haben, lesen Sie bitte die wichtigen Informationen hier:
Zur Information

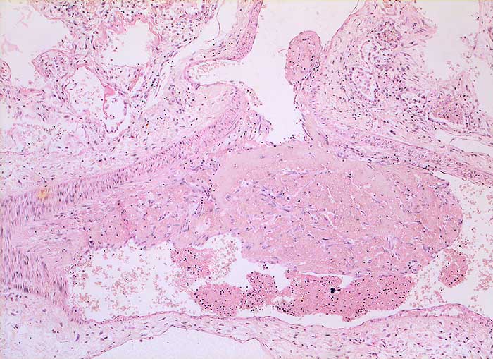
PathoPic – image database / PathoPic ID 5551 - Diffuser Alveolarschaden: proliferative Phase

de
Diagnose
Diffuser Alveolarschaden: proliferative Phase
Diagnose Gruppe
organspezifische Erkrankung
Topographie
Lunge
Topographie Gruppe
Lunge, Mediastinum mit Thymus
Beschreibung
Grössere Arterie mit partiell organisiertem wandadhärentem Thrombus. Im angrenzenden Parenchym sind hyaline Membranen erkennbar.
Zusatzbefund
Makroskopischer Lungenbefund: schwere, wässrige und verfestigte dunkelrote Lungen aus denen sich nur wenig Flüssigkeit auspressen lässt.
Klinik
Hospitalisation wegen akuter nekrotisierender Pankreatitis. Am zweiten Hospitalisationstag entwickelt der Patient ein ARDS (Adult Respiratory Distress Syndrome) mit rasch progredienter Dyspnoe und Tachypnoe, sowie einer Hypoxämie, welche im Verlauf auf Sauerstoffgabe nicht mehr anspricht. Das Thoraxröntgenbild zeigt bilaterale diffuse Verschattungen. Der Patient verstirbt trotz Intensivmassnahmen am 9. Tag nach Spitaleintritt am Multiorganversagen.
Kommentar
Gefässveränderungen in Form von Thrombosen und fibroproliferativen Veränderungen gehören mit zum Krankheitsbild des diffusen Alveolarschadens. In der akuten Phase überwiegen frische Thromben. In der proliferativen Phase (vorliegender Fall) findet man vor allem Thromben in Organisation.
Bilder Typ
Histologie
Vergrösserung
50
Alter
47
Geschlecht
männlich
Datum
Ersteintrag: 14.10.2002
Update: 27.04.2009