Wichtiger Sicherheitshinweis: Pathorama wurde zwischen dem 26. und 27. Dezember 2025 angegriffen. Falls Sie die Website in diesem Zeitraum besucht haben, lesen Sie bitte die wichtigen Informationen hier:
Zur Information

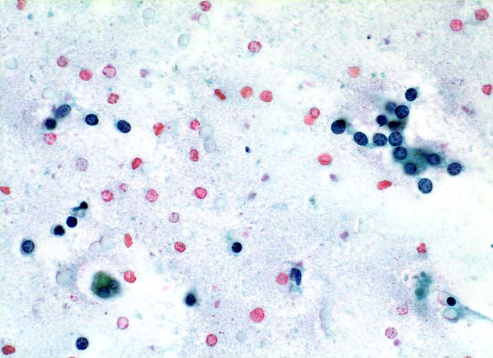
PathoPic – image database / PathoPic ID 5538 - Zyste und lymphozytäre Entzündung

de
Diagnose
Zyste und lymphozytäre Entzündung
Diagnose Gruppe
Entzündung / Reparatur
Topographie
Schilddrüse
Topographie Gruppe
Endokrinium
Beschreibung
Schilddrüse Feinnadelpunktion: Zystischer Hintergrund mit Blut, Makrophagen und Lymphozyten. Vereinzelt teils nacktkernige Schilddrüsenepithelien ohne Atypien.
Klinik
Zystenstruma.
Kommentar
Zytologische Diagnose: Hämorrhagische Zyste. Keine Anhaltspunkte für Malignität. Entzündung.
Bilder Typ
Zytologie
Vergrösserung
400
Alter
66
Geschlecht
unbekannt
Datum
Ersteintrag: 12.10.2002
Update: 11.02.2003