Wichtiger Sicherheitshinweis: Pathorama wurde zwischen dem 26. und 27. Dezember 2025 angegriffen. Falls Sie die Website in diesem Zeitraum besucht haben, lesen Sie bitte die wichtigen Informationen hier:
Zur Information

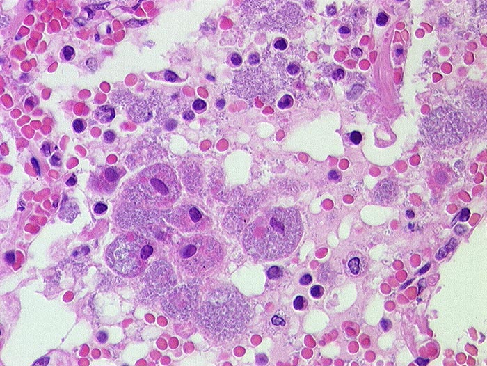
PathoPic – image database / PathoPic ID 551 - Areaktive Pneumonie

de
Diagnose
Areaktive Pneumonie
Diagnose Gruppe
Entzündung infektiös
Topographie
Lunge
Topographie Gruppe
Lunge, Mediastinum mit Thymus
Beschreibung
Alveolarraum mit Makrophagen, welche prall gefüllt sind mit Bakterien und einzelnen phagozytierten Erythrozyten. Intraalveoläre Blutung. Einzelne neoplastische Zellen des T-Zell Lymphoms intraalveolär, jedoch keine Granulozyten.
Zusatzbefund
T-Zell Lymphom mit leukämischer Ausschwemmung.
Klinik
Lymphom seit 3 Jahren. Massive Leukozytose.
Bilder Typ
Histologie
Alter
87
Geschlecht
unbekannt
Datum
Ersteintrag: 14.11.2001