Wichtiger Sicherheitshinweis:
Pathorama wurde zwischen dem
26. und 27. Dezember 2025
angegriffen. Falls Sie die Website in diesem Zeitraum besucht haben, lesen Sie bitte die wichtigen Informationen hier:
Zur Information
Pathopic
HiPaKu
ZyPaKu
Projektinfos
PathoPic - Projekt- und Copyright-Info
About
Pathopic
HiPaKu
ZyPaKu
PathoPic – image database
/
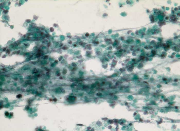
PathoPic ID 5509 - Plattenepithelkarzinom: Lymphknotenmetastase
de
Diagnose
Plattenepithelkarzinom: Lymphknotenmetastase
Diagnose Gruppe
maligner Tumor
Topographie
Lymphknoten, Kopf-cervikal
Topographie Gruppe
Lymphatische Gewebe, KM, Milz
Beschreibung
Feinnadelbiopsie Lymphknoten zervikal: Dichte Aggregate nekrotischer Tumorzellen.
Klinik
Verdacht auf Zungenkarzinom rechts
Kommentar
Zytologische Diagnose: Einige Zellen eines weitgehend entdifferenzierten Karzinoms, vereinbar mit wenig differenziertem Plattenepithelkarzinom.
Bilder Typ
Zytologie
Vergrösserung
320
Alter
60
Geschlecht
männlich
Datum
Ersteintrag: 23.12.2002
Update: 11.02.2003
CPS
·
©
2025 Institut für Pathologie Basel
/
Dr. med. Katharina Glatz-Krieger
.
·
v2.2