Wichtiger Sicherheitshinweis:
Pathorama wurde zwischen dem
26. und 27. Dezember 2025
angegriffen. Falls Sie die Website in diesem Zeitraum besucht haben, lesen Sie bitte die wichtigen Informationen hier:
Zur Information
Pathopic
HiPaKu
ZyPaKu
Projektinfos
PathoPic - Projekt- und Copyright-Info
About
Pathopic
HiPaKu
ZyPaKu
PathoPic – image database
/
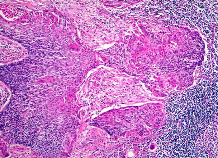
PathoPic ID 5508 - Plattenepithelkarzinom: Lymphknotenmetastase
de
Diagnose
Plattenepithelkarzinom: Lymphknotenmetastase
Diagnose Gruppe
maligner Tumor
Topographie
Lymphknoten, Kopf-cervikal
Topographie Gruppe
Lymphatische Gewebe, KM, Milz
Beschreibung
Solide, auf weiten Strecken basaloide Tumorzellstränge umgeben von desmoplastischem Stroma infiltrieren den Lymphknoten.
Klinik
3cm grosser Tumor Hals rechts
Bilder Typ
Histologie
Vergrösserung
50
Alter
53
Geschlecht
männlich
Datum
Ersteintrag: 23.12.2002
Update: 11.02.2003
CPS
·
©
2025 Institut für Pathologie Basel
/
Dr. med. Katharina Glatz-Krieger
.
·
v2.2