Wichtiger Sicherheitshinweis:
Pathorama wurde zwischen dem
26. und 27. Dezember 2025
angegriffen. Falls Sie die Website in diesem Zeitraum besucht haben, lesen Sie bitte die wichtigen Informationen hier:
Zur Information
Pathopic
HiPaKu
ZyPaKu
Projektinfos
PathoPic - Projekt- und Copyright-Info
About
Pathopic
HiPaKu
ZyPaKu
PathoPic – image database
/
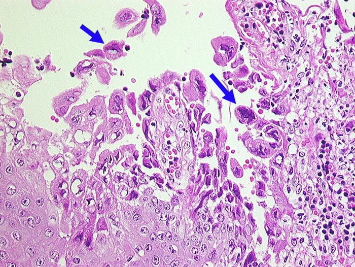
PathoPic ID 548 - Ulzeröse Herpesglossitis
de
Diagnose
Ulzeröse Herpesglossitis
Diagnose Gruppe
Entzündung infektiös
Topographie
Zunge
Topographie Gruppe
Kopf & Hals, Sinnesorgane
Beschreibung
Ulzerierte Zungenschleimhaut. In der unmittelbaren Ulkusumgebungb teils mehrkernige Plattenepithelzellen mit Milchglaskernen.
Klinik
T-Zell Lymphom mit leukämischer Ausschwemmung bekannt seit 3 Jahren. Infarktoide areaktive Pneumonie.
Bilder Typ
Histologie
Alter
87
Geschlecht
unbekannt
Datum
Ersteintrag: 14.11.2001
Update: 21.12.2007
CPS
·
©
2025 Institut für Pathologie Basel
/
Dr. med. Katharina Glatz-Krieger
.
·
v2.2