Wichtiger Sicherheitshinweis: Pathorama wurde zwischen dem 26. und 27. Dezember 2025 angegriffen. Falls Sie die Website in diesem Zeitraum besucht haben, lesen Sie bitte die wichtigen Informationen hier:
Zur Information

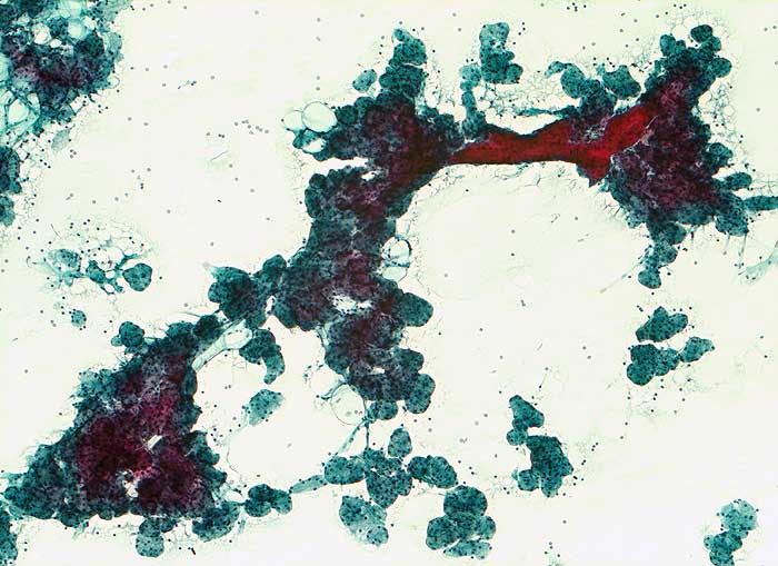
PathoPic – image database / PathoPic ID 5479 - Sialadenose

de
Diagnose
Sialadenose
Diagnose Gruppe
Hyperplasie / Hypertrophie
Topographie
Parotis
Topographie Gruppe
Kopf & Hals, Sinnesorgane
Beschreibung
Feinnadelpunktion Parotis: hypertrophe runde Drüsenazini mit rotem Schaltstück. Die Azinuszellen sind deutlich vergrössert zytoplasmareich.
Zusatzbefund
Histologie: Chronische obstruktive Sialadenitis mit Fibrose und Atrophie der Drüsenazini
Klinik
Endokarditis. Kathetersepsis. Leberzirrhose. Parotisschwellung beidseits.
Kommentar
Nicht neoplastische Vergrösserung der Speicheldrüsen. Zytologisch lässt sich die Diagnose aufgrund des klinischen Hintergrundes und des Fehlens neoplastischer oder entzündlicher Veränderungen stellen.
Bilder Typ
Zytologie
Vergrösserung
50
Alter
80
Geschlecht
männlich
Datum
Ersteintrag: 03.10.2002
Update: 21.12.2007