Wichtiger Sicherheitshinweis: Pathorama wurde zwischen dem 26. und 27. Dezember 2025 angegriffen. Falls Sie die Website in diesem Zeitraum besucht haben, lesen Sie bitte die wichtigen Informationen hier:
Zur Information

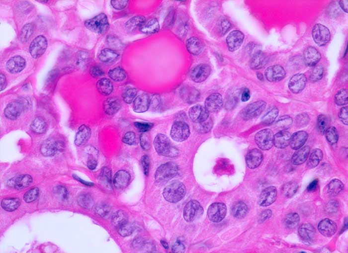
PathoPic – image database / PathoPic ID 5428 - papilläres Schilddrüsenkarzinom

de
Diagnose
papilläres Schilddrüsenkarzinom
Diagnose Gruppe
maligner Tumor
Topographie
Schilddrüse
Topographie Gruppe
Endokrinium
Beschreibung
In diesem Ausschnitt zeigt der Tumor eine follikuläre Differenzierung. Die Tumorzellen zeigen die typische Morphologie eines papillären Karzinoms mit Kernkerben und aufgehelltem Kernchromatin.
Zusatzbefund
pT2
Klinik
V.a. papilläres Schilddrüsenkarzinom. Jetzt Hemithyreoidektomie liks
Bilder Typ
Histologie
Vergrösserung
630
Alter
40
Geschlecht
unbekannt
Datum
Ersteintrag: 20.11.2002