Wichtiger Sicherheitshinweis:
Pathorama wurde zwischen dem
26. und 27. Dezember 2025
angegriffen. Falls Sie die Website in diesem Zeitraum besucht haben, lesen Sie bitte die wichtigen Informationen hier:
Zur Information
Pathopic
HiPaKu
ZyPaKu
Projektinfos
PathoPic - Projekt- und Copyright-Info
About
Pathopic
HiPaKu
ZyPaKu
PathoPic – image database
/
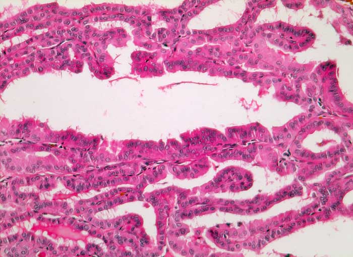
PathoPic ID 5427 - papilläres Schilddrüsenkarzinom
de
Diagnose
papilläres Schilddrüsenkarzinom
Diagnose Gruppe
maligner Tumor
Topographie
Schilddrüse
Topographie Gruppe
Endokrinium
Beschreibung
Der Tumor bildet Papillen mit einem zarten fibrovaskulären Stromastiel. Die Tumorzellen zeigen den typischen Milchglasaspekt papillärer Karzinome.
Zusatzbefund
pT2
Klinik
V.a. papilläres Schilddrüsenkarzinom. Jetzt Hemithyreoidektomie liks
Bilder Typ
Histologie
Vergrösserung
100
Alter
40
Geschlecht
unbekannt
Datum
Ersteintrag: 20.11.2002
CPS
·
©
2025 Institut für Pathologie Basel
/
Dr. med. Katharina Glatz-Krieger
.
·
v2.2