Wichtiger Sicherheitshinweis: Pathorama wurde zwischen dem 26. und 27. Dezember 2025 angegriffen. Falls Sie die Website in diesem Zeitraum besucht haben, lesen Sie bitte die wichtigen Informationen hier:
Zur Information

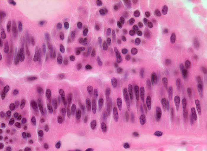
PathoPic – image database / PathoPic ID 5422 - medulläres Schilddrüsenkarzinom

de
Diagnose
medulläres Schilddrüsenkarzinom
Diagnose Gruppe
maligner Tumor
Topographie
Schilddrüse
Topographie Gruppe
Endokrinium
Beschreibung
Spindelige hochprismatische Tumorzellen. Spindelförmige Kerne mit feingekörntem Chromatin.
Zusatzbefund
-
Klinik
Patient aus MEN IIA-Familie mit nachgewiesener Mutation des RET-Protoonkogens. Erhöhte Calcitoninwerte nach Pentagastrinstimulation und dringender V.a. medulläres Schilddrüsenkarzinom rechts.
Bilder Typ
Histologie
Vergrösserung
630
Alter
48
Geschlecht
männlich
Datum
Ersteintrag: 20.11.2002