Wichtiger Sicherheitshinweis: Pathorama wurde zwischen dem 26. und 27. Dezember 2025 angegriffen. Falls Sie die Website in diesem Zeitraum besucht haben, lesen Sie bitte die wichtigen Informationen hier:
Zur Information

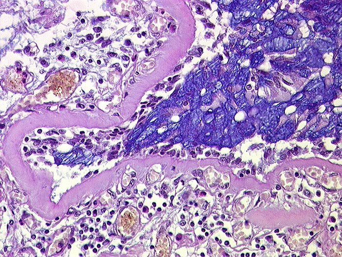
PathoPic – image database / PathoPic ID 541 - Asthma bronchiale

de
Diagnose
Asthma bronchiale
Diagnose Gruppe
Entzündung / Reparatur
Topographie
Lunge
Topographie Gruppe
Lunge, Mediastinum mit Thymus
Beschreibung
Bronchiolus mit Becherzellhyperplasie, starker Verdickung der Basalmembran und subepithelialem lymphoplasmazellulärem Entzündungsinfiltrat unter Beteiligung eosinophiler Granulozyten.
Klinik
Tod im Asthmaanfall bei bekanntem Asthma bronchiale.
Bilder Typ
Histologie
Alter
12
Geschlecht
unbekannt
Datum
Ersteintrag: 14.11.2001