Wichtiger Sicherheitshinweis: Pathorama wurde zwischen dem 26. und 27. Dezember 2025 angegriffen. Falls Sie die Website in diesem Zeitraum besucht haben, lesen Sie bitte die wichtigen Informationen hier:
Zur Information

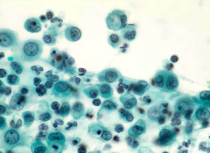
PathoPic – image database / PathoPic ID 5399 - reaktiv veränderte Mesothelien

de
Diagnose
reaktiv veränderte Mesothelien
Diagnose Gruppe
Präneoplasie/ Atypie/ Dignität?
Topographie
Aszites
Topographie Gruppe
Körperhöhlen, Serosa
Beschreibung
Aszites: Das Zytoplasma der aktivierten Mesothelzellen ist aufgetrieben, gelegentlich exzentrisch und enthält hin und wieder scharfrandige Vakuolen, welche den Zellen einen Siegelringaspekt verleihen. Die Kerne der Mesothelzellen sind vesikulär und enthalten vergrösserte Nukleolen.
Zusatzbefund
Die atypischen Zellen zeigen folgendes Markerprofil:
Alpha-Fetoprotein: negativ.
Hepatocyte: negativ.br> PSA: negativ.
TTF1: negativ.
CK20: negativ.
CK7: positiv.
Calretinin: positiv.
Klinik
V. a. Leberzellkarzinom
Kommentar
Dieses immunhistochemische Markerprofil, insbesondere die deutliche Positivität für den Mesothel-Marker Calretinin und fehlende Expression des Epithelmarkers Ber-EP4, passen am ehesten zu Zellen mesothelialen Ursprungs. Auch Zytokeratin 7 wird in normalen Mesothelien typischerweise exprimiert. Insgesamt sprechen die Befunde für ausgeprägte reaktive Veränderungen und gegen ein Karzinom. Insbesondere bei Leberzirrhose werden gelegentlich schwere reaktive Mesothelveränderungen im Aszites beobachtet, die zytologisch ein Karzinom vortäuschen können.
Bilder Typ
Zytologie
Vergrösserung
630
Alter
83
Geschlecht
männlich
Datum
Ersteintrag: 20.11.2002