Wichtiger Sicherheitshinweis: Pathorama wurde zwischen dem 26. und 27. Dezember 2025 angegriffen. Falls Sie die Website in diesem Zeitraum besucht haben, lesen Sie bitte die wichtigen Informationen hier:
Zur Information

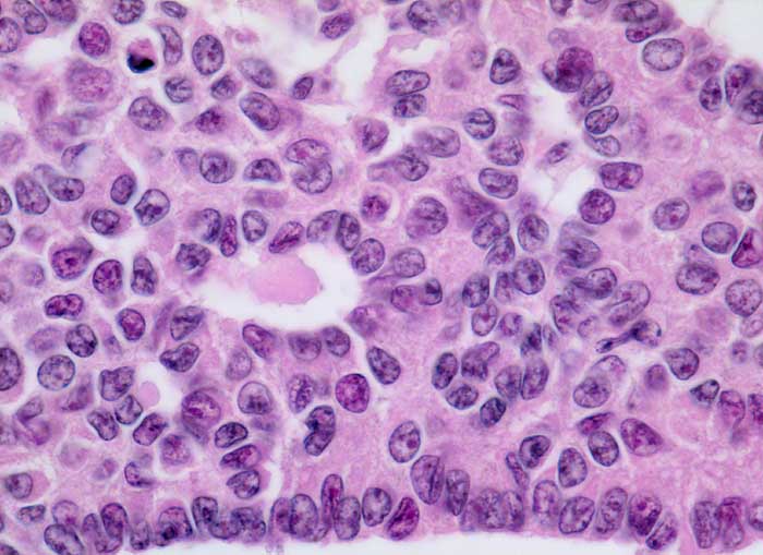
PathoPic – image database / PathoPic ID 5396 - Granulosazelltumor

de
Diagnose
Granulosazelltumor
Diagnose Gruppe
maligner Tumor
Topographie
Ovar
Topographie Gruppe
Genitalorgane, weiblich
Beschreibung
Innerhalb des soliden Tumors finden sich Hohlräume, die eosinophiles Material enthalten (=Call Exner body). Die Tumorzellen zeigen rundliche bis ovale Kerne mit gelegentlichen Kernkerben.
Zusatzbefund
Tumorzellen positiv für alpha Inhibin
Klinik
Ovarialtumor von 12cm Durchmesser
Bilder Typ
Histologie
Vergrösserung
630
Alter
85
Geschlecht
unbekannt
Datum
Ersteintrag: 20.11.2002
Update: 10.08.2010