Wichtiger Sicherheitshinweis: Pathorama wurde zwischen dem 26. und 27. Dezember 2025 angegriffen. Falls Sie die Website in diesem Zeitraum besucht haben, lesen Sie bitte die wichtigen Informationen hier:
Zur Information

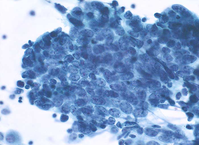
PathoPic – image database / PathoPic ID 5383 - maligner Müller'scher Mischtumor des Ovars

de
Diagnose
maligner Müller'scher Mischtumor des Ovars
Diagnose Gruppe
maligner Tumor
Topographie
Ovar
Topographie Gruppe
Genitalorgane, weiblich
Beschreibung
Ovarialzyste links, Feinnadelpunktion: Vereinzelte dichte Verbände von zytoplasmaarmen atypischen Zellen mit deutlich pleomorphen, hyperchromatischen und grob strukturierten Kernen.
Klinik
V.a. Ovarialkarzinom
Kommentar
Zytologische Diagnose: Einzelne Karzinomzellen und Karzinomzellverbände. Der zytologische Befund ähnelt einem serösen Zystadenokarzinom. Schaumzellen fallen im vorliegenden Ausstrich jedoch kaum ins Gewicht.
Bilder Typ
Zytologie
Vergrösserung
400
Alter
71
Geschlecht
unbekannt
Datum
Ersteintrag: 20.11.2002
Update: 10.08.2010