Wichtiger Sicherheitshinweis:
Pathorama wurde zwischen dem
26. und 27. Dezember 2025
angegriffen. Falls Sie die Website in diesem Zeitraum besucht haben, lesen Sie bitte die wichtigen Informationen hier:
Zur Information
Pathopic
HiPaKu
ZyPaKu
Projektinfos
PathoPic - Projekt- und Copyright-Info
About
Pathopic
HiPaKu
ZyPaKu
PathoPic – image database
/
PathoPic ID 538 - Grosszelliges neuroendokrines Karzinom
de
Diagnose
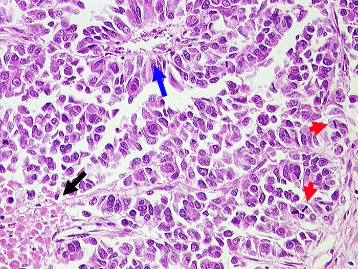
Grosszelliges neuroendokrines Karzinom
Diagnose Gruppe
maligner Tumor
Topographie
Lunge
Topographie Gruppe
Lunge, Mediastinum mit Thymus
Beschreibung
►
Mittelgrosse Tumorzellen mit reichlich Zytoplasma und zahlreichen Mitosen.
►
Herdförmige Nekrosen.
►
Pseudorosettenbildung um Gefäss.
Zusatzbefund
Zentrales Bronchuskarzinom. Synaptophysin und NSE positiv.
Bilder Typ
Histologie
Alter
52
Geschlecht
unbekannt
Datum
Ersteintrag: 14.11.2001
CPS
·
©
2025 Institut für Pathologie Basel
/
Dr. med. Katharina Glatz-Krieger
.
·
v2.2