Wichtiger Sicherheitshinweis: Pathorama wurde zwischen dem 26. und 27. Dezember 2025 angegriffen. Falls Sie die Website in diesem Zeitraum besucht haben, lesen Sie bitte die wichtigen Informationen hier:
Zur Information

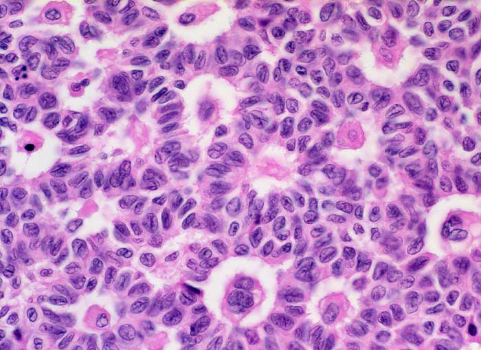
PathoPic – image database / PathoPic ID 5333 - Granulosazelltumor vom adulten Typ, Call Exner Körperchen

de
Diagnose
Granulosazelltumor vom adulten Typ, Call Exner Körperchen
Diagnose Gruppe
maligner Tumor
Topographie
Ovar
Topographie Gruppe
Genitalorgane, weiblich
Beschreibung
Kaffeebohnenartige Tumorzellen mit Kernkerben umgeben drüsenartige Hohlräume, welche eosinophiles Material und aus dem Verband gelöste Tumorzellen enthalten=Call Exner Körperchen.
Zusatzbefund
Die Tumorzellen zeigen eine Positivität für Inhibin und CD99, sind jedoch negativ für EMA.
Klinik
Ovarial-Tumor links -> Adnexektomie links. Frage: Dignität? CA-125 im Normbereich.
Kommentar
Die Call Exner Körperchen gleichen unreifen Follikeln und sind ein guter Hinweis auf einen Granulosazelltumor
Bilder Typ
Histologie
Vergrösserung
400
Alter
62
Geschlecht
unbekannt
Datum
Ersteintrag: 19.11.2002
Update: 10.08.2010