Wichtiger Sicherheitshinweis:
Pathorama wurde zwischen dem
26. und 27. Dezember 2025
angegriffen. Falls Sie die Website in diesem Zeitraum besucht haben, lesen Sie bitte die wichtigen Informationen hier:
Zur Information
Pathopic
HiPaKu
ZyPaKu
Projektinfos
PathoPic - Projekt- und Copyright-Info
About
Pathopic
HiPaKu
ZyPaKu
PathoPic – image database
/
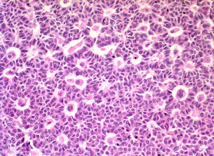
PathoPic ID 5331 - Granulosazelltumor vom adulten Typ des Ovars
de
Diagnose
Granulosazelltumor vom adulten Typ des Ovars
Diagnose Gruppe
maligner Tumor
Topographie
Ovar
Topographie Gruppe
Genitalorgane, weiblich
Beschreibung
Solides Tumorareal mit zahlreichen
Call Exner Körperchen. Die Tumorzellen zeigen längliche Kerne mit Kernkerben.
Zusatzbefund
Die Tumorzellen zeigen eine Positivität für Inhibin und CD99, sind jedoch negativ für EMA.
Klinik
Ovarial-Tumor links -> Adnexektomie links. Frage: Dignität? CA-125 im Normbereich.
Bilder Typ
Histologie
Vergrösserung
200
Alter
62
Geschlecht
unbekannt
Datum
Ersteintrag: 19.11.2002
Update: 10.08.2010
CPS
·
©
2025 Institut für Pathologie Basel
/
Dr. med. Katharina Glatz-Krieger
.
·
v2.2