Wichtiger Sicherheitshinweis: Pathorama wurde zwischen dem 26. und 27. Dezember 2025 angegriffen. Falls Sie die Website in diesem Zeitraum besucht haben, lesen Sie bitte die wichtigen Informationen hier:
Zur Information

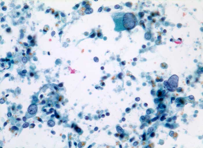
PathoPic – image database / PathoPic ID 5324 - Samenblasenepithelien

de
Diagnose
Samenblasenepithelien
Diagnose Gruppe
Normalbefund
Topographie
Samenblase
Topographie Gruppe
Genitalorgane, männlich
Beschreibung
Samenblase, Spülzytologie: Ausgeprägte Pleomorphie. Vergrösserte Kerne mit teils vergröbertem Chromatin. Polygonale und spindelige Zellen. Reichlich goldgelbe Lipofuszinkörner.
Klinik
Prostatakarzinom.
Kommentar
Bei einer Prostatamassage können Samenblasenepithelien in den Urin gelagen, welche wegen ihrer ausgeprägten Pleomorphie zu einer Karzinomfehldiagnose verleiten können. Das Lipofuszinpigment hilft auf die richtige Spur.
Bilder Typ
Zytologie
Vergrösserung
320
Alter
60
Geschlecht
männlich
Datum
Ersteintrag: 19.11.2002
Update: 10.08.2010