Wichtiger Sicherheitshinweis: Pathorama wurde zwischen dem 26. und 27. Dezember 2025 angegriffen. Falls Sie die Website in diesem Zeitraum besucht haben, lesen Sie bitte die wichtigen Informationen hier:
Zur Information

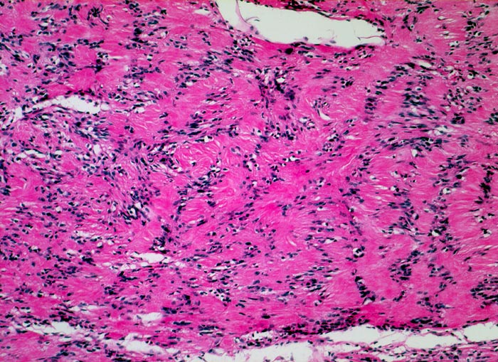
PathoPic – image database / PathoPic ID 5277 - Schwannom: Verocay bodies

de
Diagnose
Schwannom: Verocay bodies
Diagnose Gruppe
benigner Tumor
Topographie
Nerv peripher
Topographie Gruppe
Nervensystem
Beschreibung
Palisadierung der Tumorzellkerne in parallelen Reihen. Dazwischen sind die kernlosen Zellfortsätze ebenfalls parallel angeordnet.
Zusatzbefund
Immunhistochemisch sind die Tumorzellen diffus und stark positiv für S-100 Protein.
Klinik
Derber abgekapselter Tumor am Nervus ulnaris
Kommentar
Die parallele Anordnung von Zellkernen und Zytoplasmafortsätzen nennt man Verocay body. Diese sind typisch für Schwannome können aber auch von anderen Tumoren imitiert werden (z.B. Meningeom).
Bilder Typ
Histologie
Vergrösserung
100
Alter
44
Geschlecht
unbekannt
Datum
Ersteintrag: 03.08.2002