Wichtiger Sicherheitshinweis: Pathorama wurde zwischen dem 26. und 27. Dezember 2025 angegriffen. Falls Sie die Website in diesem Zeitraum besucht haben, lesen Sie bitte die wichtigen Informationen hier:
Zur Information

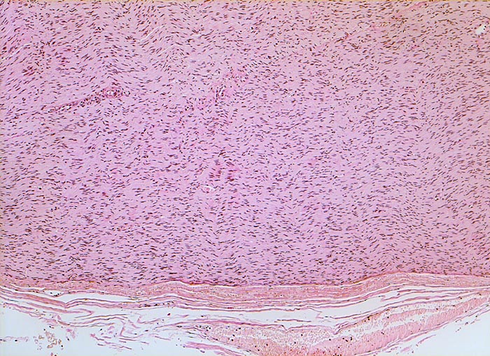
PathoPic – image database / PathoPic ID 5275 - peripherer Nerv (Intercostalnerv)

de
Diagnose
peripherer Nerv (Intercostalnerv)
Diagnose Gruppe
Normalbefund
Topographie
Nerv peripher
Topographie Gruppe
Nervensystem
Beschreibung
Schwannzellen mit langgezogenen Kernen in welliger Anordnung kennzeichnen den peripheren Nerven. Der Nerv ist umgeben vom Perineurium aus Bindegewebe und Gefässen.
Klinik
Intercostalnerv
Bilder Typ
Histologie
Vergrösserung
50
Alter
54
Geschlecht
männlich
Datum
Ersteintrag: 03.08.2002