Wichtiger Sicherheitshinweis:
Pathorama wurde zwischen dem
26. und 27. Dezember 2025
angegriffen. Falls Sie die Website in diesem Zeitraum besucht haben, lesen Sie bitte die wichtigen Informationen hier:
Zur Information
Pathopic
HiPaKu
ZyPaKu
Projektinfos
PathoPic - Projekt- und Copyright-Info
About
Pathopic
HiPaKu
ZyPaKu
PathoPic – image database
/
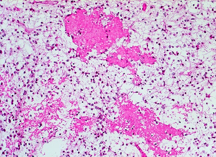
PathoPic ID 5258 - Oligodendrogliom (WHO Grad II)
de
Diagnose
Oligodendrogliom (WHO Grad II)
Diagnose Gruppe
maligner Tumor
Topographie
Hirn frontal
Topographie Gruppe
Nervensystem
Beschreibung
Frische
Einblutungen
Klinik
Kopfschmerzen und epileptische Anfälle seit zwei Jahren.
Kommentar
Oligodendrogliome zeigen häufig Einblutungen
Bilder Typ
Histologie
Vergrösserung
100
Alter
59
Geschlecht
männlich
Datum
Ersteintrag: 05.08.2002
CPS
·
©
2025 Institut für Pathologie Basel
/
Dr. med. Katharina Glatz-Krieger
.
·
v2.2