Wichtiger Sicherheitshinweis:
Pathorama wurde zwischen dem
26. und 27. Dezember 2025
angegriffen. Falls Sie die Website in diesem Zeitraum besucht haben, lesen Sie bitte die wichtigen Informationen hier:
Zur Information
Pathopic
HiPaKu
ZyPaKu
Projektinfos
PathoPic - Projekt- und Copyright-Info
About
Pathopic
HiPaKu
ZyPaKu
PathoPic – image database
/
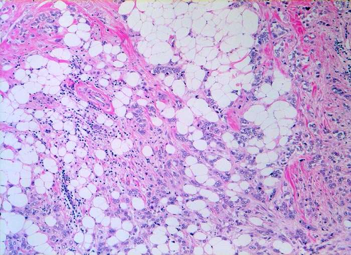
PathoPic ID 5247 - Invasives lobuläres Mammakarzinom
de
Diagnose
Invasives lobuläres Mammakarzinom
Diagnose Gruppe
maligner Tumor
Topographie
Mamma
Topographie Gruppe
Mamma
Beschreibung
Die kleinen monomorphen Tumorzellen infiltrieren das Fettgewebe. Die Tumorzellen bilden keine Drüsenschläuche aus.
Klinik
Mammographisch suspekter Herd im äusseren oberen Quadranten. Probeexzision.
Kommentar
Invasiv lobuläre Karzinome bilden per definitionem keine drüsigen Strukturen aus.
Bilder Typ
Histologie
Vergrösserung
100
Alter
42
Geschlecht
unbekannt
Datum
Ersteintrag: 23.07.2002
CPS
·
©
2025 Institut für Pathologie Basel
/
Dr. med. Katharina Glatz-Krieger
.
·
v2.2