Wichtiger Sicherheitshinweis: Pathorama wurde zwischen dem 26. und 27. Dezember 2025 angegriffen. Falls Sie die Website in diesem Zeitraum besucht haben, lesen Sie bitte die wichtigen Informationen hier:
Zur Information

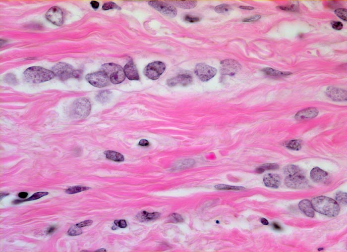
PathoPic – image database / PathoPic ID 5246 - Invasives lobuläres Mammakarzinom

de
Diagnose
Invasives lobuläres Mammakarzinom
Diagnose Gruppe
maligner Tumor
Topographie
Mamma
Topographie Gruppe
Mamma
Beschreibung
Die kleinen monomorphen und nur gering atypischen Tumorzellen bilden einreihige Ketten (gänsemarschartig oder Indian files) im dichten desmoplastischen Stroma
Klinik
Mammographisch suspekter Herd im äusseren oberen Quadranten. Probeexzision.
Kommentar
Die Anordnung der Tumorzellen zu einreihigen Ketten ist ein Charakteristikum der invasiv lobulären Karzinome
Bilder Typ
Histologie
Vergrösserung
630
Alter
42
Geschlecht
unbekannt
Datum
Ersteintrag: 23.07.2002