Wichtiger Sicherheitshinweis: Pathorama wurde zwischen dem 26. und 27. Dezember 2025 angegriffen. Falls Sie die Website in diesem Zeitraum besucht haben, lesen Sie bitte die wichtigen Informationen hier:
Zur Information

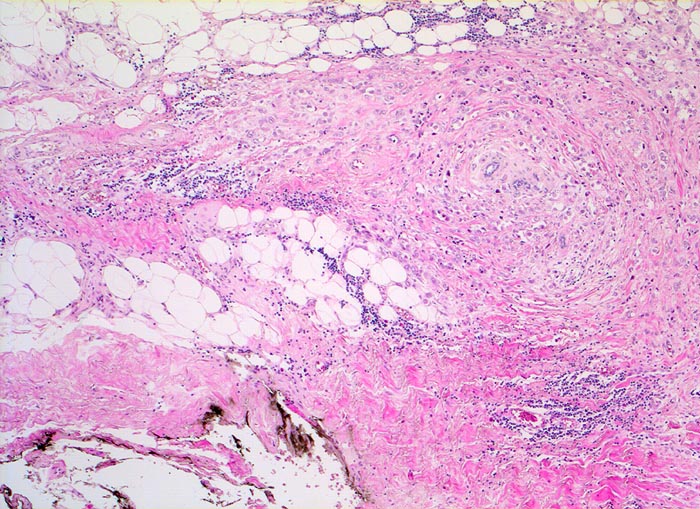
PathoPic – image database / PathoPic ID 5243 - Invasives lobuläres Mammakarzinom

de
Diagnose
Invasives lobuläres Mammakarzinom
Diagnose Gruppe
maligner Tumor
Topographie
Mamma
Topographie Gruppe
Mamma
Beschreibung
Die Tumorzellen sind konzentrisch um vorbestehende Läppchen angeordnet. Der Tumor reicht hier bis nahe an den mit schwarzer Tusche markierten Resektionsrand heran.
Klinik
Mammographisch suspekter Herd im äusseren oberen Quadranten. Probeexzision.
Kommentar
Damit der Pathologe den Abstand des Tumors von den verschiedenen Resektionsrändern bestimmen kann, werden diese mit verschieden farbiger Tusche markiert
Bilder Typ
Histologie
Vergrösserung
50
Alter
42
Geschlecht
unbekannt
Datum
Ersteintrag: 23.07.2002