Wichtiger Sicherheitshinweis:
Pathorama wurde zwischen dem
26. und 27. Dezember 2025
angegriffen. Falls Sie die Website in diesem Zeitraum besucht haben, lesen Sie bitte die wichtigen Informationen hier:
Zur Information
Pathopic
HiPaKu
ZyPaKu
Projektinfos
PathoPic - Projekt- und Copyright-Info
About
Pathopic
HiPaKu
ZyPaKu
PathoPic – image database
/
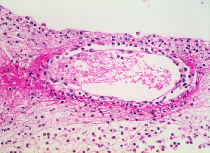
PathoPic ID 5225 - Eitrige Leptomeningitis
de
Diagnose
Eitrige Leptomeningitis
Diagnose Gruppe
Entzündung infektiös
Topographie
Meningen
Topographie Gruppe
Nervensystem
Beschreibung
Ein Teil der leptomeningealen Gefässe zeigt eine
fibrinoide Nekrose der Gefässwand.
Zusatzbefund
Bronchopneumonie. Nachweis von Pneumokokken im Abstrich von der Hirnoberfläche und von der Lunge.
Klinik
Kopfschmerzen seit 3 Tagen mit zunehmender Bewusstseinseintrübung, Fieber. Diabetes mellitus. Patientin stirbt kurz nach Spitaleintritt.
Bilder Typ
Histologie
Vergrösserung
200
Alter
66
Geschlecht
unbekannt
Datum
Ersteintrag: 23.07.2002
Update: 16.03.2003
CPS
·
©
2025 Institut für Pathologie Basel
/
Dr. med. Katharina Glatz-Krieger
.
·
v2.2