Wichtiger Sicherheitshinweis: Pathorama wurde zwischen dem 26. und 27. Dezember 2025 angegriffen. Falls Sie die Website in diesem Zeitraum besucht haben, lesen Sie bitte die wichtigen Informationen hier:
Zur Information

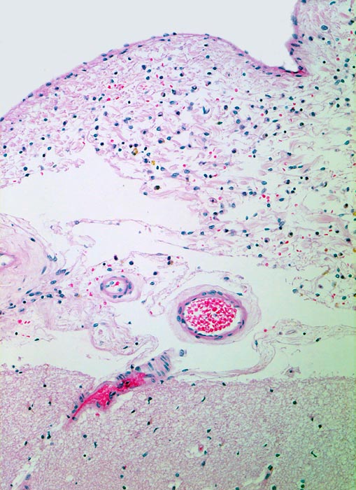
PathoPic – image database / PathoPic ID 5221 - Leptomeningen und Subarachnoidalraum

de
Diagnose
Leptomeningen und Subarachnoidalraum
Diagnose Gruppe
Normalbefund
Topographie
Arachnoidea
Topographie Gruppe
Nervensystem
Beschreibung
Der Subarachnoidalraum wird begrenzt von der Arachnoidea und der Pia mater, welche an die Hirnrinde unten im Bild angrenzt. Der Subarachnoidalraum enthält Liquor und Gefässe. Zarte Kollagenfasern verlaufen zwischen äusserem und innerem Blatt der weichen Hirnhaut.
Bilder Typ
Histologie
Vergrösserung
100
Geschlecht
weiblich
Datum
Ersteintrag: 23.07.2002