Wichtiger Sicherheitshinweis: Pathorama wurde zwischen dem 26. und 27. Dezember 2025 angegriffen. Falls Sie die Website in diesem Zeitraum besucht haben, lesen Sie bitte die wichtigen Informationen hier:
Zur Information

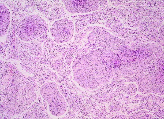
PathoPic – image database / PathoPic ID 5194 - meningotheliales Meningeom (WHO I)

de
Diagnose
meningotheliales Meningeom (WHO I)
Diagnose Gruppe
benigner Tumor
Topographie
Meningen
Topographie Gruppe
Nervensystem
Beschreibung
Klassisches Meningeom bestehend aus teils kugeligen Verbänden monomorpher Tumorzellen. Zwischen den Tumorzellverbänden kleine Gefässe und schmale Bindegewebssepten.
Klinik
Wegen erstmalig aufgetretenem epileptischem Anfall wird ein Schädel CT durchgeführt. Dabei kommt über der rechten Grosshirnkonvexität ein 3cm grosser runder Tumor zur Darstellung. Der Patient litt ausserdem seit mehreren Wochen über rechtsseitig lokalisierte Kopfschmerzen.
Bilder Typ
Histologie
Vergrösserung
50
Alter
59
Geschlecht
männlich
Datum
Ersteintrag: 23.07.2002