Wichtiger Sicherheitshinweis:
Pathorama wurde zwischen dem
26. und 27. Dezember 2025
angegriffen. Falls Sie die Website in diesem Zeitraum besucht haben, lesen Sie bitte die wichtigen Informationen hier:
Zur Information
Pathopic
HiPaKu
ZyPaKu
Projektinfos
PathoPic - Projekt- und Copyright-Info
About
Pathopic
HiPaKu
ZyPaKu
PathoPic – image database
/
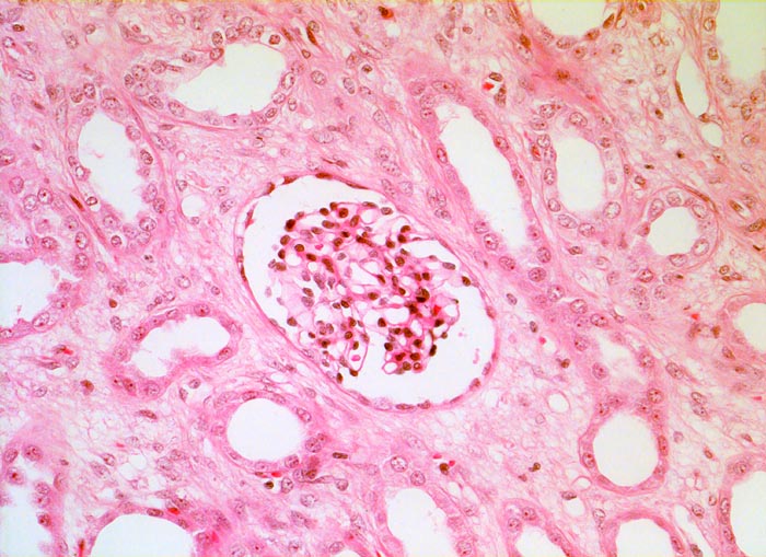
PathoPic ID 5182 - normales Glomerulum beim Kind
de
Diagnose
normales Glomerulum beim Kind
Diagnose Gruppe
Normalbefund
Topographie
Niere
Topographie Gruppe
Niere, Harnwege
Beschreibung
Glomerulus eines Kleinkindes mit auffallend prominenten
Podozyten mit grossen Kernen. Weitgehend infiltratfreier tubulointerstitieller Raum.
Zusatzbefund
Graubrauner scharf begrenzter weicher Tumor mit fokalen Nekrosen und Einblutungen.
Klinik
Palpabler Tumor im linken Hemiabdomen. Makrohämaturieepisode.
Bilder Typ
Histologie
Vergrösserung
200
Alter
1
Geschlecht
männlich
Datum
Ersteintrag: 29.07.2002
CPS
·
©
2025 Institut für Pathologie Basel
/
Dr. med. Katharina Glatz-Krieger
.
·
v2.2