Wichtiger Sicherheitshinweis: Pathorama wurde zwischen dem 26. und 27. Dezember 2025 angegriffen. Falls Sie die Website in diesem Zeitraum besucht haben, lesen Sie bitte die wichtigen Informationen hier:
Zur Information

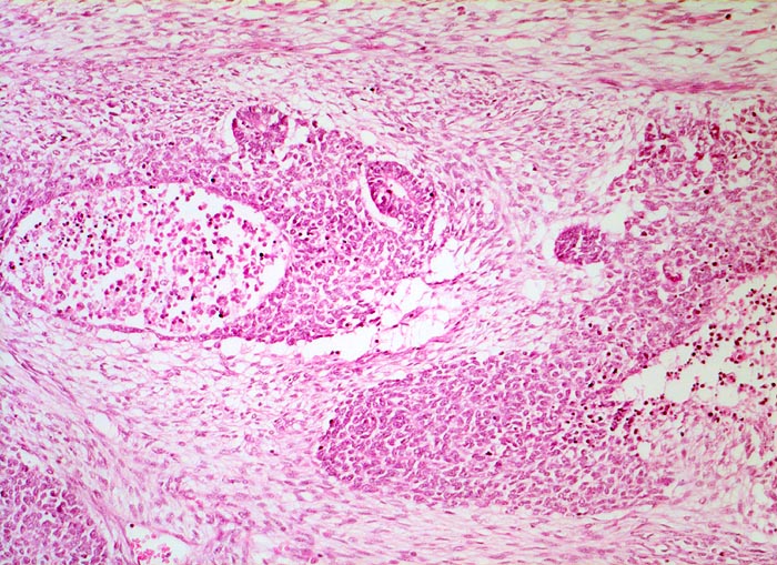
PathoPic – image database / PathoPic ID 5180 - Wilms-Tumor

de
Diagnose
Wilms-Tumor
Diagnose Gruppe
maligner Tumor
Topographie
Niere
Topographie Gruppe
Paidopathologie
Beschreibung
Alle drei Komponenten des Wilms Tumors sind auf diesem Bild sichtbar. Das lockere spindelzellige Stroma, die zelldichte Blastemkomponente mit Nekrosen und Einschluss epithelialer Elemente in Form von Tubuli.
Zusatzbefund
Graubrauner scharf begrenzter weicher Tumor mit fokalen Nekrosen und Einblutungen.
Klinik
Palpabler Tumor im linken Hemiabdomen. Makrohämaturieepisode.
Bilder Typ
Histologie
Vergrösserung
50
Alter
1
Geschlecht
männlich
Datum
Ersteintrag: 05.11.2002