Wichtiger Sicherheitshinweis: Pathorama wurde zwischen dem 26. und 27. Dezember 2025 angegriffen. Falls Sie die Website in diesem Zeitraum besucht haben, lesen Sie bitte die wichtigen Informationen hier:
Zur Information

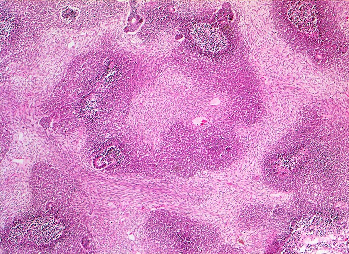
PathoPic – image database / PathoPic ID 5178 - Wilms-Tumor

de
Diagnose
Wilms-Tumor
Diagnose Gruppe
maligner Tumor
Topographie
Niere
Topographie Gruppe
Paidopathologie
Beschreibung
Alle drei Komponenten des Wilms Tumors sind auf diesem Bild sichtbar: eine spindelzellige helle Stromakomponente, eine aus dicht gepackten Zellen bestehende Blastemkomponente und epitheliale Elemente in Form von Tubuli. Ausserdem fleckförmige Nekrosen.
Zusatzbefund
Graubrauner scharf begrenzter weicher Tumor mit fokalen Nekrosen und Einblutungen.
Klinik
Palpabler Tumor im linken Hemiabdomen. Makrohämaturieepisode.
Bilder Typ
Histologie
Vergrösserung
50
Alter
1
Geschlecht
männlich
Datum
Ersteintrag: 05.11.2002