Wichtiger Sicherheitshinweis:
Pathorama wurde zwischen dem
26. und 27. Dezember 2025
angegriffen. Falls Sie die Website in diesem Zeitraum besucht haben, lesen Sie bitte die wichtigen Informationen hier:
Zur Information
Pathopic
HiPaKu
ZyPaKu
Projektinfos
PathoPic - Projekt- und Copyright-Info
About
Pathopic
HiPaKu
ZyPaKu
PathoPic – image database
/
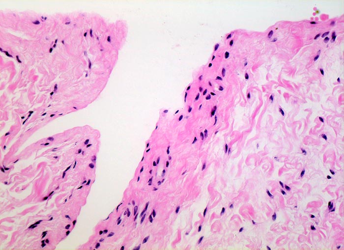
PathoPic ID 5176 - normale Synovialis
de
Diagnose
normale Synovialis
Diagnose Gruppe
Normalbefund
Topographie
Synovialis
Topographie Gruppe
Knochen, Knorpel, Gelenke
Beschreibung
diskontinuierliche Schicht flacher synovialer
Deckzellen. Das kollagenöse Stroma ist entzündungsfrei.
Kommentar
Synovialis von Fingergelenk
Bilder Typ
Histologie
Vergrösserung
200
Alter
43
Geschlecht
unbekannt
Datum
Ersteintrag: 23.07.2002
Update: 25.12.2007
CPS
·
©
2025 Institut für Pathologie Basel
/
Dr. med. Katharina Glatz-Krieger
.
·
v2.2