Wichtiger Sicherheitshinweis: Pathorama wurde zwischen dem 26. und 27. Dezember 2025 angegriffen. Falls Sie die Website in diesem Zeitraum besucht haben, lesen Sie bitte die wichtigen Informationen hier:
Zur Information

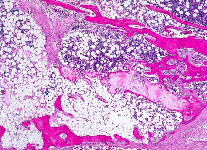
PathoPic – image database / PathoPic ID 5141 - Osteogenesis imperfecta: Frakturkallus

de
Diagnose
Osteogenesis imperfecta: Frakturkallus
Diagnose Gruppe
angeboren /genetisch/Missbildung
Topographie
Knochen, Rippe
Topographie Gruppe
Knochen, Knorpel, Gelenke
Beschreibung
Frakturkallus bestehend aus metaplastischem Bindegewebe, Knorpelgewebe und Knochengewebe.
Zusatzbefund
Tod an Rechtsherzversagen bei Cor pulmonale. Multiple, zum Teil nicht ganz frische Frakturen vorwiegend der Rippen mit ausgeprägter Deformierung des Thorax und des übrigen Skeletts. Generalisierte Osteopenie. Kyphoskoliose. Multiple Knochenmarkembolien der Lunge.
Klinik
Glasknochenkrankheit, pulmonale arterielle Hypertonie
Bilder Typ
Histologie
Vergrösserung
25
Alter
39
Geschlecht
männlich
Datum
Ersteintrag: 05.07.2002