Wichtiger Sicherheitshinweis: Pathorama wurde zwischen dem 26. und 27. Dezember 2025 angegriffen. Falls Sie die Website in diesem Zeitraum besucht haben, lesen Sie bitte die wichtigen Informationen hier:
Zur Information

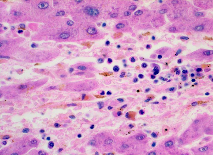
PathoPic – image database / PathoPic ID 5139 - akute Hepatitis

de
Diagnose
akute Hepatitis
Diagnose Gruppe
Entzündung infektiös
Topographie
Leber
Topographie Gruppe
Leber, Gallenwege, Pankreas
Beschreibung
Fleckige Parenchymnekrose. Die nekrotischen Hepatozyten sind bereits von Makrophagen abgeräumt worden. Zurückgeblieben ist das Fasergerüst aufgefüllt mit Entzündungszellen und Erythrozyten. Am Rand der Nekrose eine hypereosinophile Einzelzelle in Apoptose.
Klinik
Autopsiepräparat eines 37jährigen Patienten mit Transaminasenanstieg und Hyperbilirubinämie. St.n. Bluttransfusionen
Bilder Typ
Histologie
Vergrösserung
400
Alter
37
Geschlecht
männlich
Datum
Ersteintrag: 21.10.2002