Wichtiger Sicherheitshinweis: Pathorama wurde zwischen dem 26. und 27. Dezember 2025 angegriffen. Falls Sie die Website in diesem Zeitraum besucht haben, lesen Sie bitte die wichtigen Informationen hier:
Zur Information

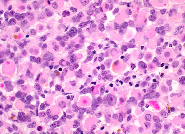
PathoPic – image database / PathoPic ID 5133 - embryonales Rhabdomyosarkom

de
Diagnose
embryonales Rhabdomyosarkom
Diagnose Gruppe
maligner Tumor
Topographie
Weichteile Kopf
Topographie Gruppe
Weichteile
Beschreibung
Dieser Tumor besteht überwiegend aus Rhabdomyoblasten mit reichlich eosinophilem Zytoplasma und exzentrisch gelagerten grossen dunklen Kernen mit eosinophilen Nukleolen. Daneben sind einzelne primitive Zellen mit wenig Zytoplasma und Entzündungszellen erkennbar sowie gelbbraune Hämosiderinablagerungen. Eine Querstreifung ist nich nachweisbar.
Klinik
Schmerzloser rasch wachsender Tumor im oberen inneren Quadranten der Orbita mit Verdrängung des Bulbus nach temporal. Diplopie.
Bilder Typ
Histologie
Vergrösserung
400
Alter
5
Geschlecht
unbekannt
Datum
Ersteintrag: 06.07.2002