Wichtiger Sicherheitshinweis: Pathorama wurde zwischen dem 26. und 27. Dezember 2025 angegriffen. Falls Sie die Website in diesem Zeitraum besucht haben, lesen Sie bitte die wichtigen Informationen hier:
Zur Information

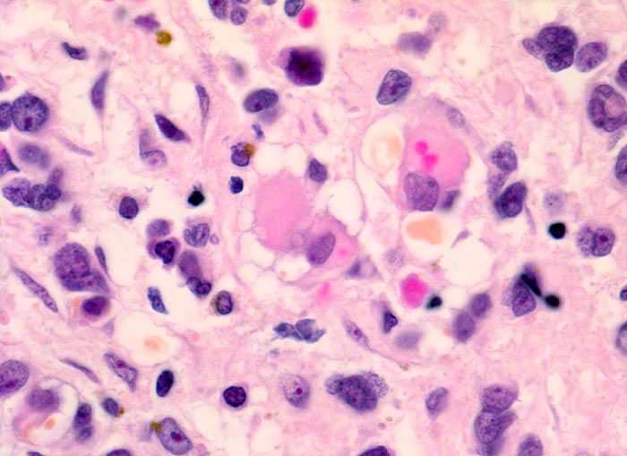
PathoPic – image database / PathoPic ID 5132 - embryonales Rhabdomyosarkom

de
Diagnose
embryonales Rhabdomyosarkom
Diagnose Gruppe
maligner Tumor
Topographie
Weichteile Kopf
Topographie Gruppe
Weichteile
Beschreibung
Neben primitiven ovalen und spindeligen Zellen mit sehr wenig Zytoplasma sind in der Bildmitte Rhabdomyoblasten mit vakuolisiertem Zytoplasma erkennbar. Dabei handelt es sich um sogenannte Spinnwebenzellen. Die Vakuolen entstehen durch herausgelöstes Glykogen.
Klinik
Schmerzloser rasch wachsender Tumor im oberen inneren Quadranten der Orbita mit Verdrängung des Bulbus nach temporal. Diplopie.
Bilder Typ
Histologie
Vergrösserung
630
Alter
5
Geschlecht
unbekannt
Datum
Ersteintrag: 06.07.2002