Wichtiger Sicherheitshinweis:
Pathorama wurde zwischen dem
26. und 27. Dezember 2025
angegriffen. Falls Sie die Website in diesem Zeitraum besucht haben, lesen Sie bitte die wichtigen Informationen hier:
Zur Information
Pathopic
HiPaKu
ZyPaKu
Projektinfos
PathoPic - Projekt- und Copyright-Info
About
Pathopic
HiPaKu
ZyPaKu
PathoPic – image database
/
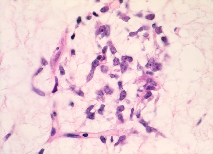
PathoPic ID 5130 - myxoides Liposarkom
de
Diagnose
myxoides Liposarkom
Diagnose Gruppe
maligner Tumor
Topographie
Muskel, untere Extremität
Topographie Gruppe
Weichteile
Beschreibung
Für das myxoide Liposarkom charakteristische krähenfussartige
verzweigte Kapillaren und reichlich myxoides Stroma.
Klinik
Schmerzloser Tumor am medialen Oberschenkel.
Bilder Typ
Histologie
Vergrösserung
400
Alter
55
Geschlecht
unbekannt
Datum
Ersteintrag: 06.07.2002
CPS
·
©
2025 Institut für Pathologie Basel
/
Dr. med. Katharina Glatz-Krieger
.
·
v2.2