Wichtiger Sicherheitshinweis:
Pathorama wurde zwischen dem
26. und 27. Dezember 2025
angegriffen. Falls Sie die Website in diesem Zeitraum besucht haben, lesen Sie bitte die wichtigen Informationen hier:
Zur Information
Pathopic
HiPaKu
ZyPaKu
Projektinfos
PathoPic - Projekt- und Copyright-Info
About
Pathopic
HiPaKu
ZyPaKu
PathoPic – image database
/
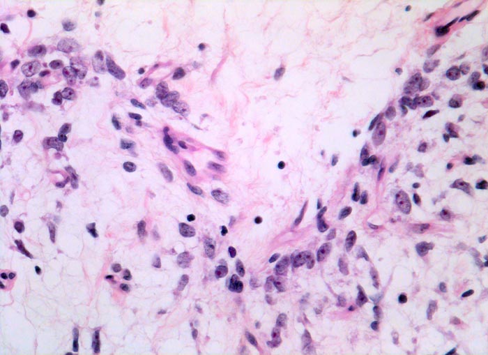
PathoPic ID 5129 - myxoides Liposarkom
de
Diagnose
myxoides Liposarkom
Diagnose Gruppe
maligner Tumor
Topographie
Muskel, untere Extremität
Topographie Gruppe
Weichteile
Beschreibung
Rund um die zarten
kapillären Gefässe gruppieren sich
Tumorzellen mit rundlichen Kernen und feinen eosinophilen Nukleolen.
Klinik
Schmerzloser Tumor am medialen Oberschenkel.
Bilder Typ
Histologie
Vergrösserung
320
Alter
55
Geschlecht
unbekannt
Datum
Ersteintrag: 06.07.2002
CPS
·
©
2025 Institut für Pathologie Basel
/
Dr. med. Katharina Glatz-Krieger
.
·
v2.2