Wichtiger Sicherheitshinweis: Pathorama wurde zwischen dem 26. und 27. Dezember 2025 angegriffen. Falls Sie die Website in diesem Zeitraum besucht haben, lesen Sie bitte die wichtigen Informationen hier:
Zur Information

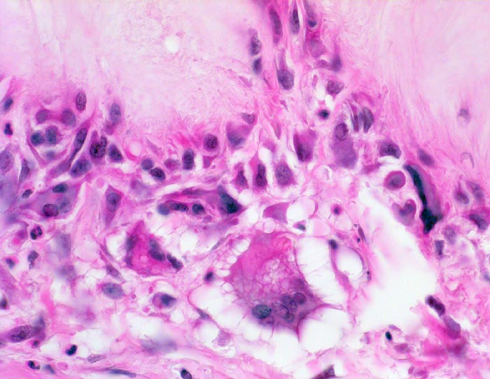
PathoPic – image database / PathoPic ID 5122 - Gichttophus

de
Diagnose
Gichttophus
Diagnose Gruppe
Systemerkrankung/Immunpathologie
Topographie
Haut
Topographie Gruppe
Haut
Beschreibung
Die Kristallablagerungen werden von Bindegwebssepten mit Histiozyten, Fremdkörperriesenzellen und Granulozyten umgeben.
Klinik
Rezidivierend geschwollenes und gerötetes Grosszehengrundgelenk. Schmerzattacken, teils abhängig von Nahrungs- und Getränkeeinnahme.
Kommentar
Bei teilweise geschlossener Kondensorblende sind Büschel feiner Kristallnadeln erkennbar. Ein Teil der Kristalle ist jedoch oft durch die Gewebspräparation herausgelöst. Natrium-Biurat ist wasserlöslich. Deshalb bei Verdacht auf Gicht Gewebe in absolutem Alkohol, nicht in wässrigem Formalin fixieren und ungefärbte Schnittpräparate polarisationspotisch untersuchen.
Bilder Typ
Histologie
Vergrösserung
400
Alter
46
Geschlecht
männlich
Datum
Ersteintrag: 06.07.2002