Wichtiger Sicherheitshinweis: Pathorama wurde zwischen dem 26. und 27. Dezember 2025 angegriffen. Falls Sie die Website in diesem Zeitraum besucht haben, lesen Sie bitte die wichtigen Informationen hier:
Zur Information

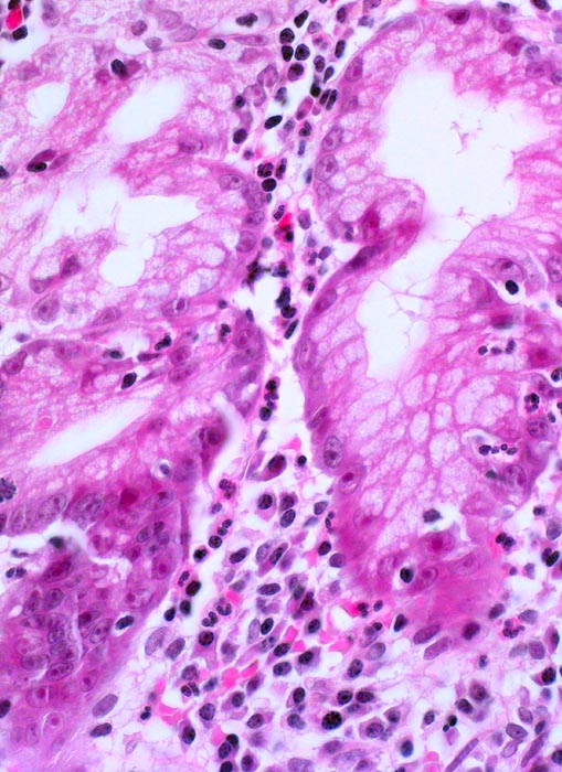
PathoPic – image database / PathoPic ID 5117 - Chronische Helicobactergastritis

de
Diagnose
Chronische Helicobactergastritis
Diagnose Gruppe
Entzündung infektiös
Topographie
Magenantrum
Topographie Gruppe
Oesophagus, Magen
Beschreibung
Die Lamina propria enthält Plasmazellen, Lymphozyten, neutrophile und eosinophile Granulozyten. Einzelne neutrophile Granulozyten infiltrieren das Drüsenepithel. Als Reaktion auf die Entzündung zeigen die Drüsenepithelzellen Atypien (vergrösserte blasige Kerne mit grossen Nukleolen).
Klinik
Asylsuchender aus dem Balkan mit chronischen Oberbauchbeschwerden.
Bilder Typ
Histologie
Vergrösserung
400
Alter
32
Geschlecht
männlich
Datum
Ersteintrag: 06.07.2002