Wichtiger Sicherheitshinweis: Pathorama wurde zwischen dem 26. und 27. Dezember 2025 angegriffen. Falls Sie die Website in diesem Zeitraum besucht haben, lesen Sie bitte die wichtigen Informationen hier:
Zur Information

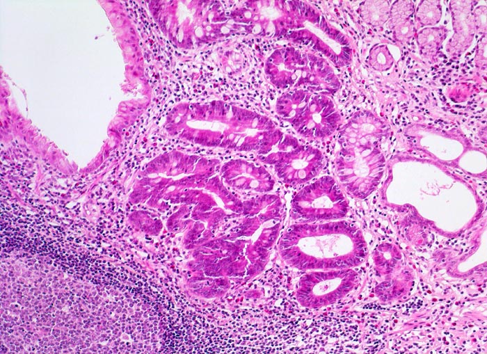
PathoPic – image database / PathoPic ID 5115 - Chronische Helicobactergastritis: intestinale Metaplasie

de
Diagnose
Chronische Helicobactergastritis: intestinale Metaplasie
Diagnose Gruppe
Entzündung infektiös
Topographie
Magenantrum
Topographie Gruppe
Oesophagus, Magen
Beschreibung
Magenantrumschleimhaut mit dichtem Entzündungsinfiltrat mit Lymphfollikelbildung in der Lamina propria. Das Epithel eines Teils der Drüsen weist deutlich dichteres Zytoplasma mit Einschluss einzelner Becherzellen auf entsprechend einer intestinalen Metaplasie. Einzelne dilatierte Drüsen (= Magendrüsenkörperzysten).
Klinik
Asylsuchender aus dem Balkan mit chronischen Oberbauchbeschwerden.
Kommentar
Lymphfollikel sind typisch für die Typ B Gastritis. Die intestinale Metaplasie hingegen ist unspezifisch. Sie kann auch nach Abheilung von Ulzera und Erosionen oder bei einer Autoimmungastritis auftreten. Eine Unterscheidung von kompletter und inkompletter Metaplasie ist nur mittels Spezialfärbungen eindeutig möglich und wird wegen fehlender klinischer Relevanz nicht vorgenommen.
Magendrüsenkörperzysten können dem Endoskopiker als kleine Polypen erscheinen
Bilder Typ
Histologie
Vergrösserung
100
Alter
32
Geschlecht
männlich
Datum
Ersteintrag: 06.07.2002