Wichtiger Sicherheitshinweis:
Pathorama wurde zwischen dem
26. und 27. Dezember 2025
angegriffen. Falls Sie die Website in diesem Zeitraum besucht haben, lesen Sie bitte die wichtigen Informationen hier:
Zur Information
Pathopic
HiPaKu
ZyPaKu
Projektinfos
PathoPic - Projekt- und Copyright-Info
About
Pathopic
HiPaKu
ZyPaKu
PathoPic – image database
/
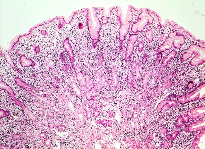
PathoPic ID 5114 - Chronische Helicobactergastritis
de
Diagnose
Chronische Helicobactergastritis
Diagnose Gruppe
Entzündung infektiös
Topographie
Magenantrum
Topographie Gruppe
Oesophagus, Magen
Beschreibung
Magenantrumschleimhaut mit dichtem oberflächenbetontem Entzündungsinfiltrat in der Lamina propria.
Klinik
Asylsuchender aus dem Balkan mit chronischen Oberbauchbeschwerden.
Bilder Typ
Histologie
Vergrösserung
50
Alter
32
Geschlecht
männlich
Datum
Ersteintrag: 06.07.2002
CPS
·
©
2025 Institut für Pathologie Basel
/
Dr. med. Katharina Glatz-Krieger
.
·
v2.2