Wichtiger Sicherheitshinweis: Pathorama wurde zwischen dem 26. und 27. Dezember 2025 angegriffen. Falls Sie die Website in diesem Zeitraum besucht haben, lesen Sie bitte die wichtigen Informationen hier:
Zur Information

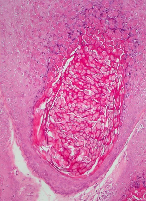
PathoPic – image database / PathoPic ID 5107 - Molluscum contagiosum

de
Diagnose
Molluscum contagiosum
Diagnose Gruppe
Präneoplasie/ Atypie/ Dignität?
Topographie
Haut, Anus
Topographie Gruppe
Haut
Beschreibung
Kugelige eosinophile intrazytoplasmatische Einschlüsse sind vor allem in Zellen des $o{qy8042178Stratum granulosum} Stratum granulosum und des Stratum corneum erkennbar.
Klinik
Perianal kleine linear angeordnete Hautpapeln.
Bilder Typ
Histologie
Vergrösserung
100
Alter
5
Geschlecht
männlich
Datum
Ersteintrag: 06.10.2002