Wichtiger Sicherheitshinweis: Pathorama wurde zwischen dem 26. und 27. Dezember 2025 angegriffen. Falls Sie die Website in diesem Zeitraum besucht haben, lesen Sie bitte die wichtigen Informationen hier:
Zur Information

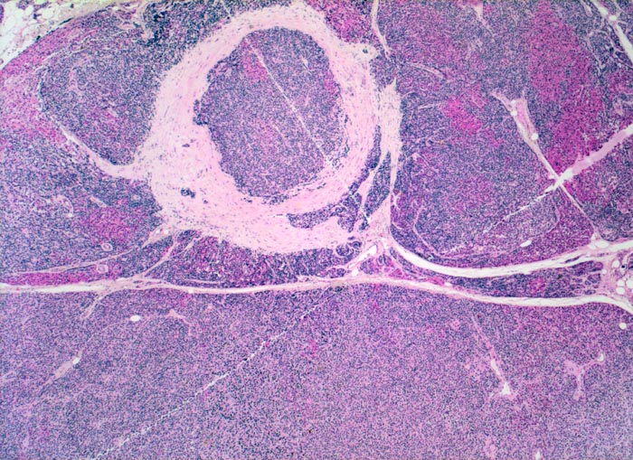
PathoPic – image database / PathoPic ID 5090 - noduläre Nebenschilddrüsenhyperplasie

de
Diagnose
noduläre Nebenschilddrüsenhyperplasie
Diagnose Gruppe
Systemerkrankung/Immunpathologie
Topographie
Nebenschilddrüse
Topographie Gruppe
Endokrinium
Beschreibung
Das Gewebe ist knotig strukturiert: die Knoten sind teils rötlich (onkozytäre Zellen), teils bläulich gefärbt. Im hyperplastischen Parenchym ist kein Fettgewebe erkennbar.
Klinik
Der Patient leidet an einer chronischen Niereninsuffizienz. Die glomeruläre Filtrationsrate ist auf 25% reduziert. Unter anderem ist eine Hypokalzämie und eine Hyperphosphatämie vorhanden. Die Serumkonzentration des Parathormons ist erhöht. Die Diagnose eines sekundären Hyperparathyreoidismus wird gestellt.
Kommentar
Bei der nodulären Hyperplasie sind alle Nebenschilddrüsen knotig vergrössert. Im Gegensatz zur Hyperplasie manifestieren sich Adenome der Nebenschilddrüse meistens als solitäre bekapselte Knoten. Im Randbereich von Adenomen findet man in 50% der Fälle nicht neoplastisches supprimiertes (atrophes) Nebenschilddrüsengewebe mit reichlich Fettzellen und verkleinerten Hauptzellen.
Bilder Typ
Histologie
Vergrösserung
25
Alter
62
Geschlecht
männlich
Datum
Ersteintrag: 06.07.2002
Update: 12.01.2007