Wichtiger Sicherheitshinweis: Pathorama wurde zwischen dem 26. und 27. Dezember 2025 angegriffen. Falls Sie die Website in diesem Zeitraum besucht haben, lesen Sie bitte die wichtigen Informationen hier:
Zur Information

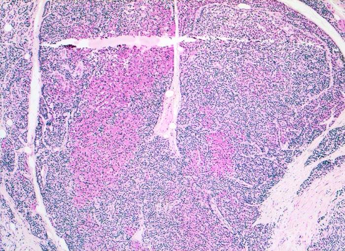
PathoPic – image database / PathoPic ID 5089 - noduläre Nebenschilddrüsenhyperplasie

de
Diagnose
noduläre Nebenschilddrüsenhyperplasie
Diagnose Gruppe
Systemerkrankung/Immunpathologie
Topographie
Nebenschilddrüse
Topographie Gruppe
Endokrinium
Beschreibung
Knotiges Parenchym ohne Fettzellen. Die Knoten sind durch Septen voneinander abgegrenzt. Die Knoten bestehen aus Hauptzellen und onkozytären (roten) Zellen.
Klinik
Der Patient leidet an einer chronischen Niereninsuffizienz. Die glomeruläre Filtrationsrate ist auf 25% reduziert. Unter anderem ist eine Hypokalzämie und eine Hyperphosphatämie vorhanden. Die Serumkonzentration des Parathormons ist erhöht. Die Diagnose eines sekundären Hyperparathyreoidismus wird gestellt.
Bilder Typ
Histologie
Vergrösserung
50
Alter
62
Geschlecht
männlich
Datum
Ersteintrag: 06.07.2002