Wichtiger Sicherheitshinweis: Pathorama wurde zwischen dem 26. und 27. Dezember 2025 angegriffen. Falls Sie die Website in diesem Zeitraum besucht haben, lesen Sie bitte die wichtigen Informationen hier:
Zur Information

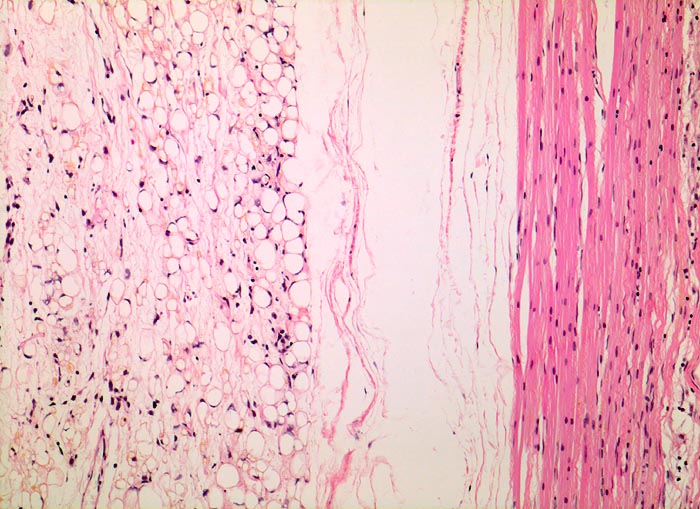
PathoPic – image database / PathoPic ID 5083 - myxoides Liposarkom

de
Diagnose
myxoides Liposarkom
Diagnose Gruppe
maligner Tumor
Topographie
Muskel, untere Extremität
Topographie Gruppe
Weichteile
Beschreibung
Rechts im Bild komprimierte atrophe Skelettmuskulatur. Links davon die peripheren Anteile des Sarkoms mit zahlreichen Lipoblasten, die in der Übersicht an reifes Fettgewebe erinnern.
Klinik
Schmerzloser Tumor am medialen Oberschenkel.
Bilder Typ
Histologie
Vergrösserung
100
Alter
55
Geschlecht
unbekannt
Datum
Ersteintrag: 06.07.2002