Wichtiger Sicherheitshinweis: Pathorama wurde zwischen dem 26. und 27. Dezember 2025 angegriffen. Falls Sie die Website in diesem Zeitraum besucht haben, lesen Sie bitte die wichtigen Informationen hier:
Zur Information

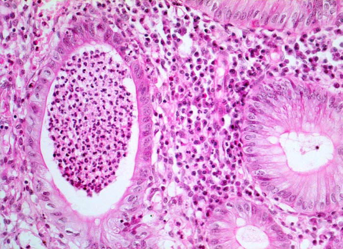
PathoPic – image database / PathoPic ID 5079 - Colitis ulcerosa: Kryptenabszess

de
Diagnose
Colitis ulcerosa: Kryptenabszess
Diagnose Gruppe
Entzündung / Reparatur
Topographie
Kolon links
Topographie Gruppe
Darm, Anus
Beschreibung
Verdichtetes Entzündungsinfiltrat in der Lamina propria bestehend aus zahlreichen Plasmazellen und neutrophilen Granulozyten, sowie einzelnen eosinophilen Granulozyten. Dilatierte Krypte gefüllt mit neutrophilen Granulozyten (=Kryptenabszess). Praktisch vollständiger Verlust von schleimbildenden Becherzellen.
Klinik
Kolektomie wegen chronischer therapierefraktärer Kolitis.
Bilder Typ
Histologie
Vergrösserung
200
Alter
34
Geschlecht
männlich
Datum
Ersteintrag: 06.07.2002