Wichtiger Sicherheitshinweis:
Pathorama wurde zwischen dem
26. und 27. Dezember 2025
angegriffen. Falls Sie die Website in diesem Zeitraum besucht haben, lesen Sie bitte die wichtigen Informationen hier:
Zur Information
Pathopic
HiPaKu
ZyPaKu
Projektinfos
PathoPic - Projekt- und Copyright-Info
About
Pathopic
HiPaKu
ZyPaKu
PathoPic – image database
/
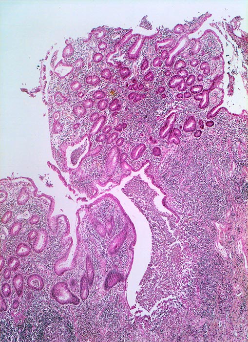
PathoPic ID 5077 - Colitis ulcerosa: entzündlicher Pseudopolyp
de
Diagnose
Colitis ulcerosa: entzündlicher Pseudopolyp
Diagnose Gruppe
Entzündung / Reparatur
Topographie
Kolon links
Topographie Gruppe
Darm, Anus
Beschreibung
Die Schleimhaut angrenzend an ein oberflächliches
Ulkus ist
polypoid hyperplastisch.
Klinik
Kolektomie wegen chronischer therapierefraktärer Kolitis.
Bilder Typ
Histologie
Vergrösserung
25
Alter
34
Geschlecht
männlich
Datum
Ersteintrag: 06.07.2002
CPS
·
©
2025 Institut für Pathologie Basel
/
Dr. med. Katharina Glatz-Krieger
.
·
v2.2