Wichtiger Sicherheitshinweis: Pathorama wurde zwischen dem 26. und 27. Dezember 2025 angegriffen. Falls Sie die Website in diesem Zeitraum besucht haben, lesen Sie bitte die wichtigen Informationen hier:
Zur Information

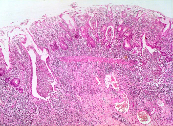
PathoPic – image database / PathoPic ID 5076 - Colitis ulcerosa

de
Diagnose
Colitis ulcerosa
Diagnose Gruppe
Entzündung / Reparatur
Topographie
Kolon links
Topographie Gruppe
Darm, Anus
Beschreibung
Schwer gestörte Kryptenarchitektur mit zahlreichen verzweigten und unregelmässig geformten Krypten. Das Entzündungsinfiltrat in der Lamina propria ist stark verdichtet und greift auf die fibrosierte Submukosa über. Mehrere Kryptenabszesse. Die Krypten enden deutlich oberhalb der Lamina muscularis mucosae (Zeichen der Atrophie).
Klinik
Kolektomie wegen chronischer therapierefraktärer Kolitis.
Bilder Typ
Histologie
Vergrösserung
25
Alter
34
Geschlecht
männlich
Datum
Ersteintrag: 06.07.2002